Porcelain Veneers


Precision Crafted Veneers Designed to Transform Your Smile
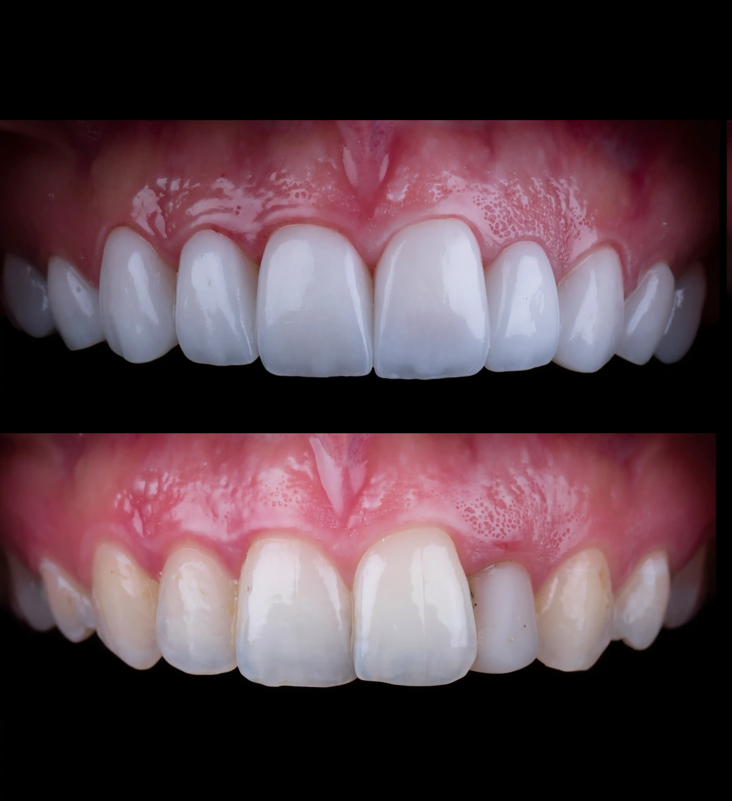
What Are Porcelain Veneers?
The Benefits of Porcelain Veneers

Natural-Looking Results: Custom-designed to match your facial features and complement your skin tone for authentic appearance.
Stain-Resistant Material: High-quality porcelain resists coffee, tea, wine, and tobacco stains better than natural teeth.
Minimally Invasive: Requires minimal tooth preparation, preserving most of your natural tooth structure.
Long-Lasting Solution: With proper care, veneers can last 10-15 years or longer, providing lasting value.
Versatile Correction: Fix multiple smile flaws at once including discoloration, chips, gaps, and minor misalignment.
Boosts Confidence: Transform your smile and feel more confident in social and professional situations.
Affordable Veneers and Dental Implants -A Smile Makeover
Premium Veneer Materials for Natural Results

Are Veneers Right for Me?
What to Expect: The Veneer Process
Comprehensive Consultation
Digital Smile Design
Tooth Preparation
Precise Impressions
Temporary Veneers
Final Placement
Smile Flaws Porcelain Veneers Can Correct

Discolored or Stained Teeth: Whiten teeth that don't respond to traditional whitening treatments.
Chipped or Cracked Teeth: Repair damage and restore your tooth's natural appearance.
Gaps Between Teeth: Close unsightly spaces for a more uniform smile.
Minor Misalignment: Straighten slightly crooked teeth without braces or aligners.
Worn or Uneven Teeth: Restore teeth that have been worn down by grinding or age.
Undersized or Misshapen Teeth: Reshape teeth that are too small or have irregular contours.
Recovery & Veneer Care

Flexible Financing for Every Budget

Quality dental care should be accessible to everyone. We accept most PPO insurance plans and offer flexible financing through Cherry with 0% interest options. HSA/FSA welcome.
See If You Qualify for porcelain veneers

Why Choose Arvada Dental Center for Veneers?

Dr. Bennett and our cosmetic dentistry team have extensive experience in smile design and veneer placement. We customize every aspect of your veneers to your facial structure, skin tone, and personal preferences. We also offer flexible financing options and accept most insurance plans, making beautiful veneers accessible to more patients.
FAQs
Porcelain veneers typically cost $1,200-$2,500 per tooth, depending on the complexity of your case and number of veneers needed. We offer flexible financing options and accept most dental insurance. Our membership club provides additional savings for uninsured patients.
With proper care, porcelain veneers can last 10-15 years or longer. Maintain them with regular brushing, flossing, and dental checkups. Avoid biting hard objects and consider a nightguard if you grind your teeth.
Yes! Modern porcelain veneers are custom-designed to match your facial features, skin tone, and natural tooth color. We use digital smile design to preview your results and ensure you love your new look before treatment begins.
No. We use local anesthesia during tooth preparation to ensure your comfort. Most patients experience only minor sensitivity after the procedure, which resolves within a few days. Over-the-counter pain relievers manage any discomfort.
Veneers cover only the front surface of teeth and require minimal tooth preparation. Crowns cover the entire tooth and require more extensive reduction. Veneers are ideal for cosmetic improvements, while crowns are better for teeth with significant structural damage.
Veneers can correct minor misalignment and create the appearance of straighter teeth. However, they're not a substitute for orthodontic treatment if you have significant bite issues or severe crowding. We'll assess your situation during consultation.
Not necessarily. Many patients get 6-8 veneers on their upper front teeth (the "smile zone") for dramatic results. We'll recommend the number of veneers needed to achieve your desired outcome based on your goals and budget.
While porcelain veneers are durable, they can chip or crack if subjected to excessive force. If this happens, contact us immediately. Depending on the damage, we may be able to repair or will need to replace the veneer.
You must have healthy gums before getting veneers. We'll treat any gum disease first, then proceed with veneers once your oral health is optimal. This ensures the best long-term results.


